你有没有遇到过那种膝盖突然一软,然后“咔嚓”一声,哎呀妈呀,髌骨骨折了?这可不是闹着玩的,得好好休息,还得进行康复训练。今天,就让我带你一起看看那些超实用的髌骨骨折下蹲训练视频,让你的膝盖重获新生!
一、了解髌骨骨折

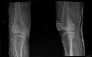
首先,咱们得弄明白什么是髌骨骨折。髌骨,也就是我们常说的膝盖骨,是人体最大的籽骨,位于膝盖前方。它连接股骨和胫骨,起到稳定膝关节的作用。髌骨骨折,就是膝盖骨断裂了,这种情况可能是因为跌倒、撞击或者剧烈运动造成的。
二、下蹲训练的重要性

别小看了下蹲训练,它对于髌骨骨折的康复可是至关重要的。下蹲训练可以帮助恢复膝关节的稳定性和力量,预防再次受伤。而且,下蹲训练还能提高关节的灵活性和耐力,让你在日常生活中更加自如。
三、髌骨骨折下蹲训练视频推荐

现在,就让我给你推荐几个超实用的髌骨骨折下蹲训练视频,让你的康复之路更加顺畅。
1. 初级下蹲训练
这个视频由专业的康复师指导,适合刚做完手术或者骨折初期的人群。视频中详细介绍了下蹲的正确姿势和动作要领,让你在家就能轻松进行训练。
2. 中级下蹲训练
随着康复的进行,你可以尝试这个中级下蹲训练视频。这个视频增加了训练的难度,通过增加重量、改变角度等方式,帮助你更好地恢复膝关节的力量和稳定性。
3. 高级下蹲训练
当你已经能够轻松完成中级下蹲训练时,就可以尝试这个高级下蹲训练视频了。这个视频包含了更多高级动作,如单腿下蹲、深蹲等,帮助你进一步提升膝关节的功能。
四、注意事项
在进行下蹲训练时,一定要注意以下几点:
1. 热身运动:在开始训练前,一定要做好热身运动,避免肌肉拉伤。
2. 动作要领:严格按照视频中的动作要领进行训练,避免错误的动作造成二次伤害。
3. 循序渐进:康复是一个漫长的过程,不要急于求成,要根据自身情况逐渐增加训练强度。
4. 持之以恒:只有坚持训练,才能达到理想的康复效果。
通过这些髌骨骨折下蹲训练视频,相信你的膝盖一定会重获新生。记住,康复之路虽然漫长,但只要坚持下去,就一定能够战胜伤痛,重拾健康!加油,让我们一起为健康而努力!













